We will be glad to answer all your questions. Leave your information and we will get back to you as soon as possible.
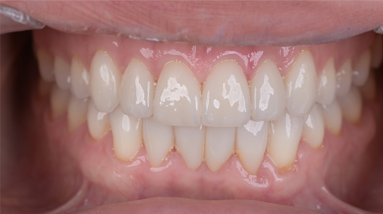
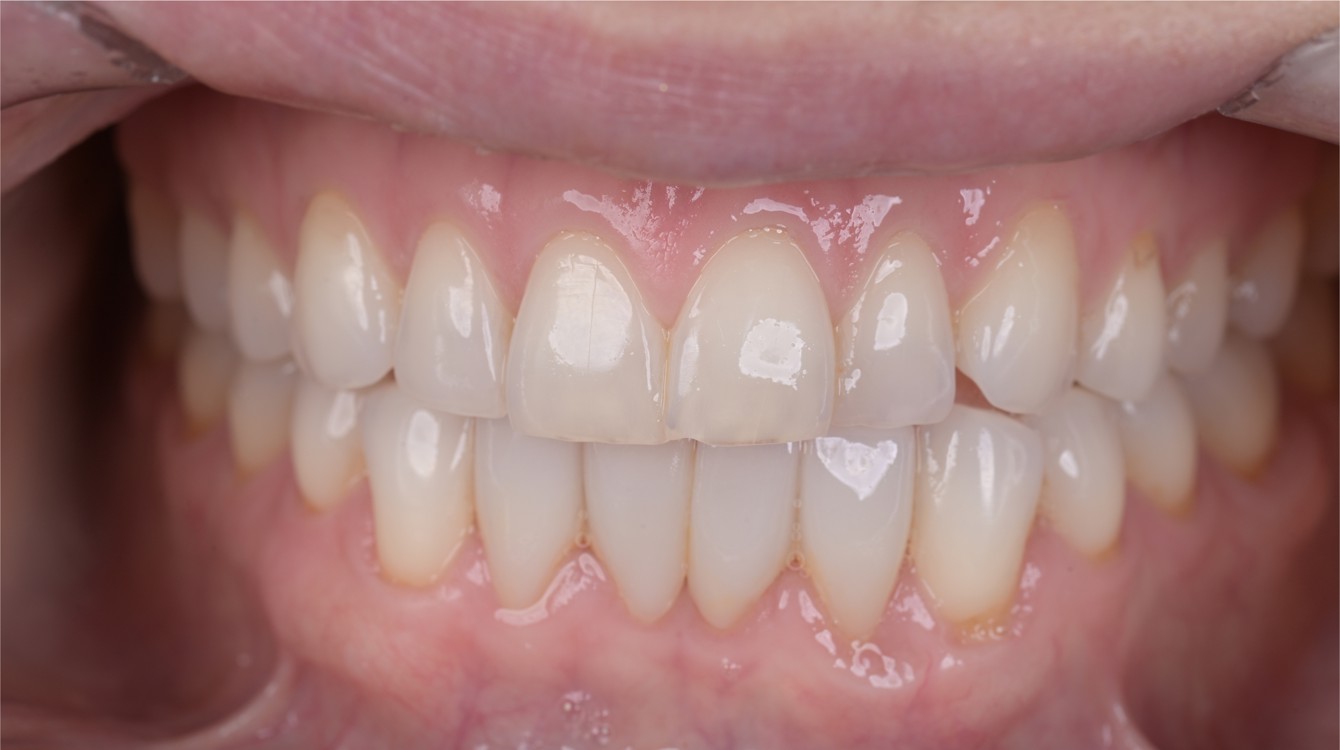
Thanks to cosmetic dentistry, Gorana got an ideal new smile, in the creation of which she herself participated through the sophisticated Smile Design program.
Gorana was not satisfied with the appearance of her six upper front teeth. After a free initial examination and consultation, we decided on an additive method of increasing teeth with the help of composite veneers. Smile Design indicated the need to extend the entire upper front, which we performed using six ceramic veneers.
Gorana participated in the creation of her ideal smile, and before the actual teeth grinding, we scheduled a "trial" of the new smile - the so-called mock-up - during which Gorana could feel and confirm our final proposal for her smile. After a successful muck-up, we rounded off the process with the permanent bonding of ceramic veneers, thus completing Goran's ideal new smile.




