Rado ćemo odgovoriti na sve što vas zanima. Ostavite podatke i javit ćemo vam se povratno u najkraćem mogućem roku.
Zahvaljujući ShapeMySmile metodi Andrea je ponovno dobila savršen osmijeh.
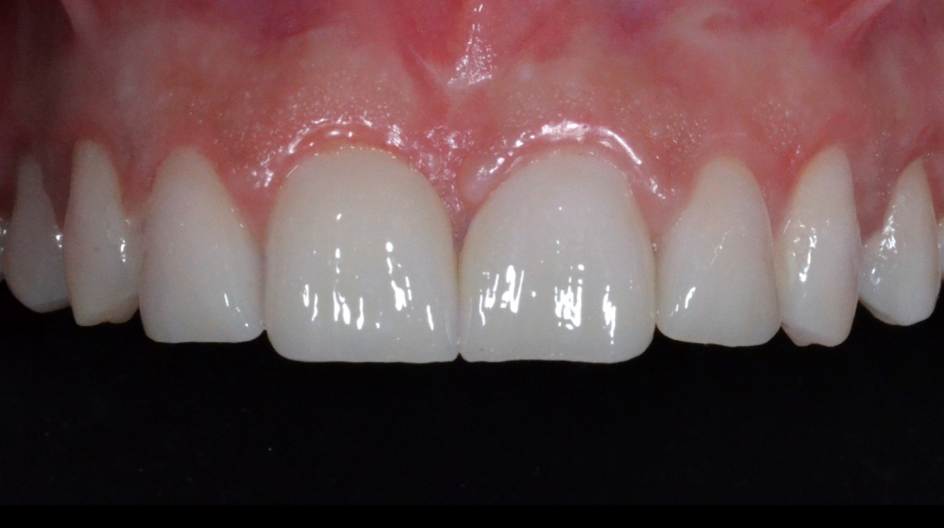
Andrea nam se obratila sa željom za zatvaranjem prostora (dijastema) između gornjih prednjih zuba. Zahvaljujući ShapeMySmile metodi podarili smo joj idealan osmijeh.
Na prvom besplatnom pregledu odlučili smo se na metodu povećanja zuba uz pomoć kompozitnih ljuskica. Uz sofisticirani program Smile Design, Andrea je sudjelovala u kreiranju svog idealnog osmijeha, dobivši uvid u izgled svog budućeg osmijeha i prije samoga početka izrade.
Zatim je uslijedio postupak injektiranja kompozita uz pomoć kalupa, u kojem smo na zube trajno nalijepili kompozitne ljuskice i tako napravili idealan osmijeh.




