Wir beantworten gerne all Ihre Fragen. Hinterlassen Sie Ihre Daten und wir werden uns so schnell wie möglich bei Ihnen melden.
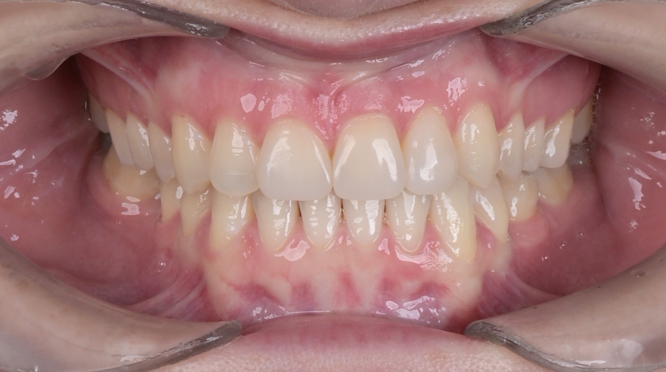
Mit der kieferorthopädischen Invisalign-Therapie und der ursprünglichen ShapeMySmile-Methode erlangte Ana wieder ein schönes Lächeln und einen besseren Biss.
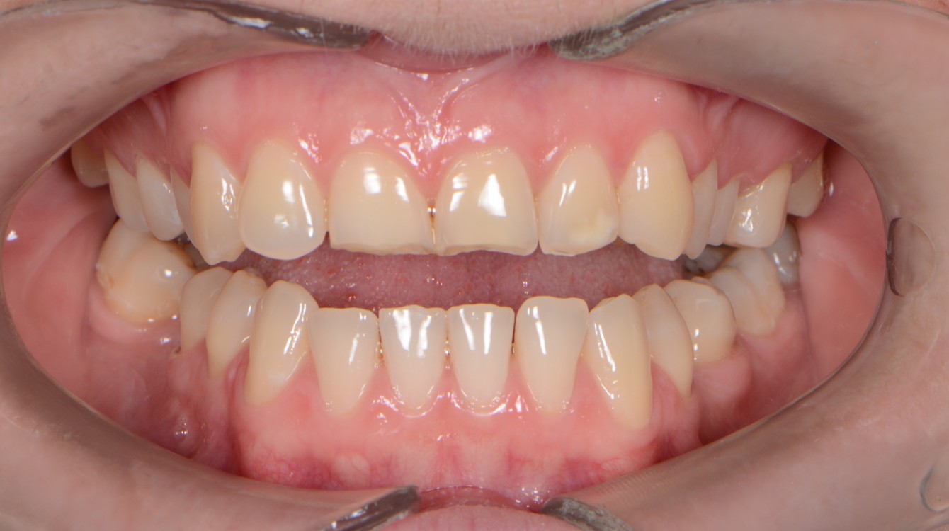
Aufgrund von Bruxismus und einem unangemessenen Biss hat Ana ihre Zähne im oberen Vorderteil übermäßig abgenutzt. Nach der ersten Untersuchung rieten wir ihr zur Invisalign-Therapie zur Korrektur ihres Bisses. Am Ende der Therapie und der Etablierung eines neuen Bisses und neuer Kieferbeziehungen erhielten wir Platz für die ästhetische Rekonstruktion der oberen Vorderzähne und eine komplette Umgestaltung.
Mit dem anspruchsvollen Smile Design-Programm beteiligte sich Ana an der Gestaltung ihres idealen Lächelns und hatte die Möglichkeit, neue Zähne, also die sogenannten, auszuprobieren Mock-up, um einen Eindruck von ihrem neuen Lächeln zu bekommen. Das Einspritzen des Komposits mit Hilfe einer Form, in der die Komposit-Veneers dauerhaft mit den Zähnen verklebt wurden, führte zu einem schönen und harmonischen Lächeln.




