We will be glad to answer all your questions. Leave your information and we will get back to you as soon as possible.
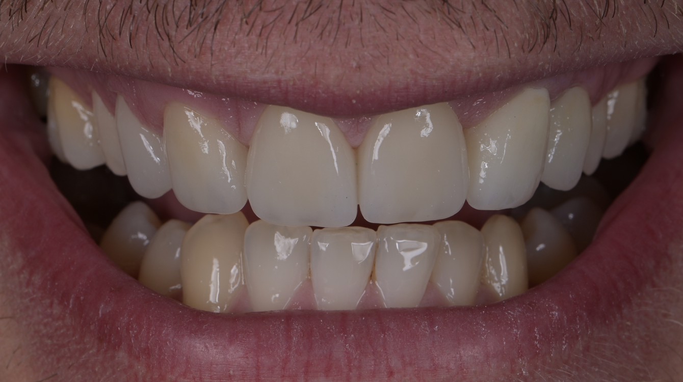
With the help of the digital Smile Design program, we provided Filip with a virtual representation of his future smile, and with the combination of ceramic crowns and veneers, we achieved natural harmony again.
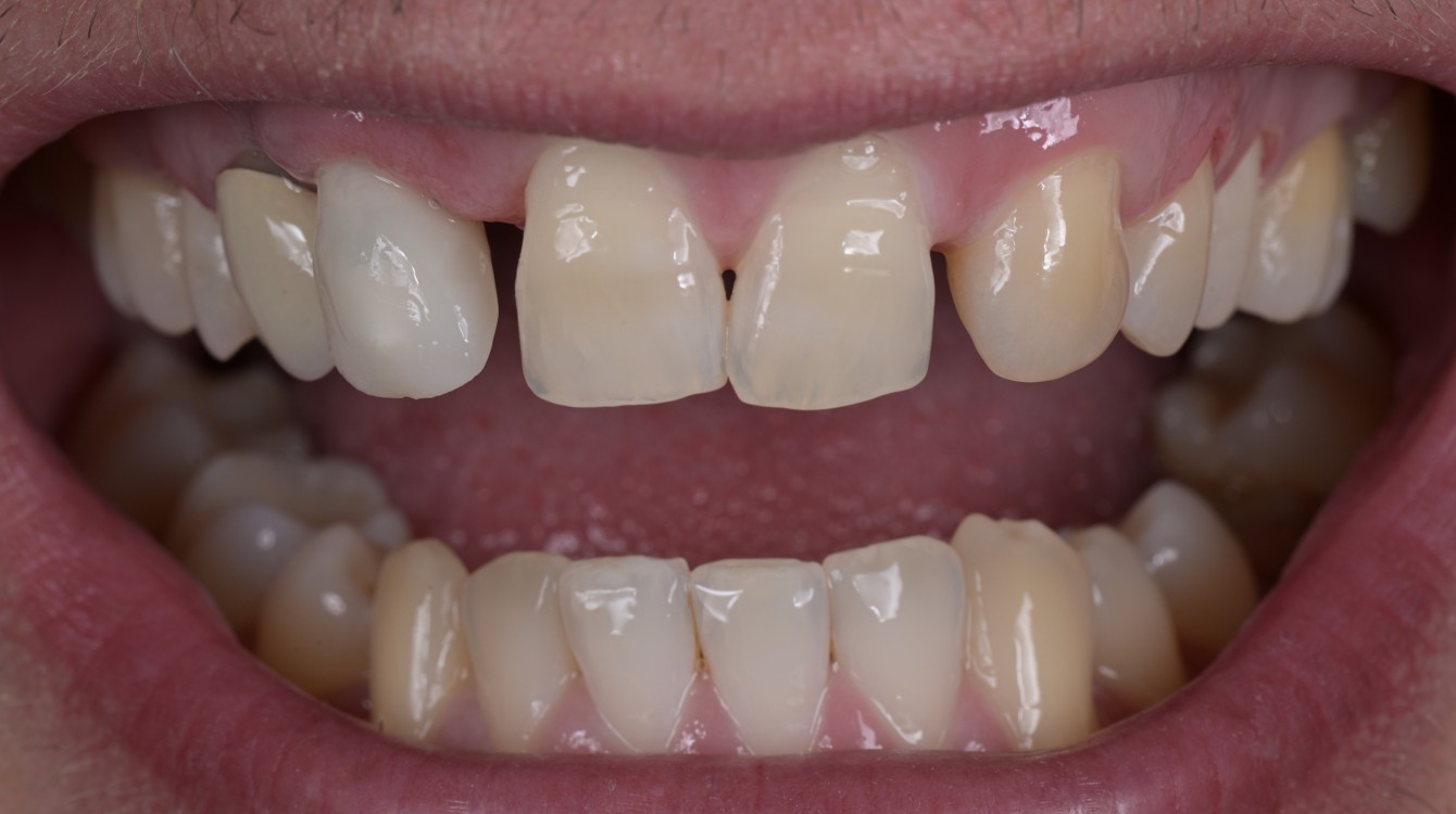
Filip wanted to improve his smile aesthetically, so after the first examination we advised him to install implants, and for the final work, a combination of zircon-ceramic crown and veneer.
With the help of the Smile Design program, Filip was able to participate in the creation of his new smile. After the installation of the implants, there was a healing period of about three months, and then we installed zircon-ceramic crowns and veneers.




