Saremo felici di rispondere a qualsiasi cosa che ti interessa. Lascia i tuoi dati e ti ricontatteremo il prima possibile.
Installando corone in zirconio-ceramica in entrambe le mascelle e trattando il bruxismo e l'apnea, abbiamo ripristinato la bellezza naturale del sorriso di Emin e la funzionalità della sua mascella.
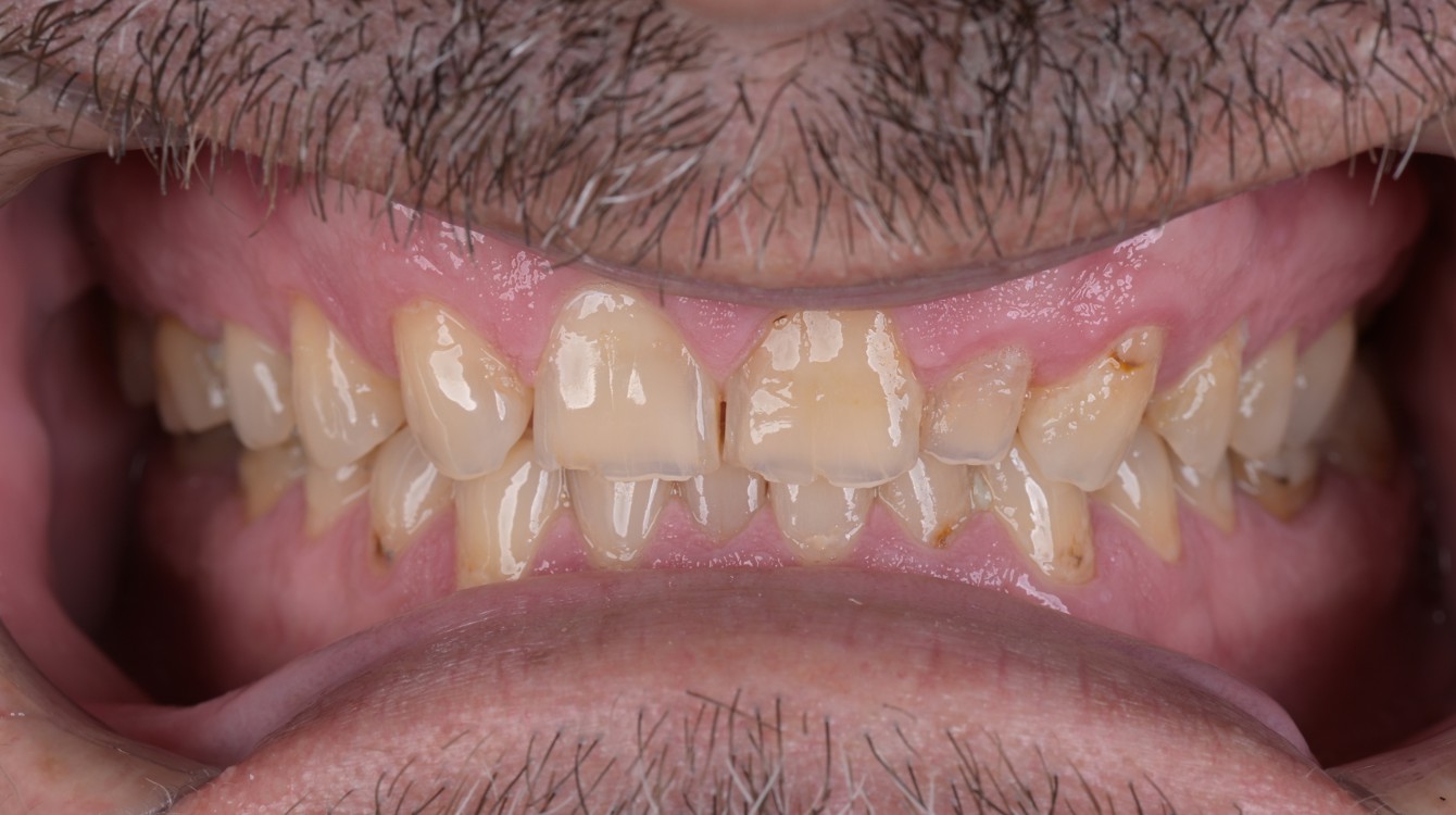
Emin ci ha contattato a causa della difficoltà nella masticazione e dell'aumento della sensibilità dei denti che erano completamente abrasi a causa di una parafunzione chiamata bruxismo. Emin soffre anche di apnea notturna, che è parzialmente aggravata da un morso verticale abbassato, conseguenza dell'eccessiva usura dei denti. Dopo l'esame abbiamo proposto al paziente una soluzione con corone in zirconio-ceramica.
Con il sofisticato programma di progettazione del sorriso, il paziente ha avuto la prima visione visiva del suo futuro sorriso ancor prima dell'inizio della produzione e ha potuto partecipare alla creazione del suo sorriso ideale.
Parallelamente alla riabilitazione completa, il paziente è stato sottoposto anche a una terapia per l'apnea notturna, che ha portato alla completa cessazione del bruxismo e alla completa riabilitazione del sistema vocale.




